Knee Preservation – Osteotomy Surgery

Osteotomy literally means “cutting of the bone.” In a knee osteotomy, either the tibia (shinbone) or femur (thighbone) is cut and then reshaped to relieve pressure on the knee joint.
Knee osteotomy is used when a patient has early-stage osteoarthritis that has damaged just one side of the knee joint. By shifting weight off of the damaged side of the joint, an osteotomy can relieve pain and significantly improve function in an arthritic knee.
Procedure
Most osteotomies for knee arthritis are done on the tibia (shinbone) to correct a bowlegged alignment that is putting too much stress on the inside of the knee.
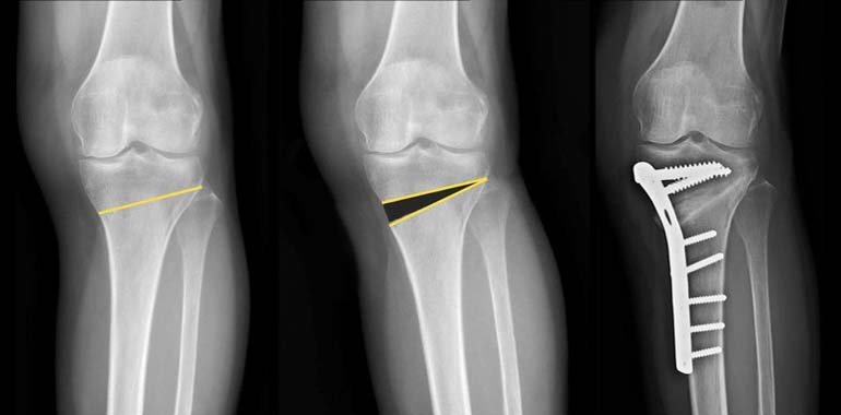
During this procedure, a cut is made on the inside of the tibia, under the unhealthy side of the knee. Using special osteotomes the cut is then opened straightening the leg. This is then fixed with a plate, with or without bone graft.
This procedure is sometimes called a “high tibial osteotomy.”
Osteotomies of the thighbone (femur) are done using the same technique. They are usually done to correct a knock-kneed alignment.

Recovery
Hospital discharge. In most cases, patients go home 2 to 4 days after an osteotomy.
Pain management. After surgery, you will feel some pain, but Dr. Jay Shah and nurses will make every effort to help you feel as comfortable as possible.
Many types of pain medication are available to help control pain, including opioids, nonsteroidal anti-inflammatory drugs (NSAIDs) and local anesthetics. Treating pain with medications can help you feel more comfortable, which will help your body heal faster and recover from surgery faster.
Weight bearing. After the operation, you will most likely need to use crutches for several weeks. Dr. Jay may also put your knee in a brace or cast for protection while the bone heals. Dr Jay will give you instructions about when weight bearing can begin.
Doctor visit. You will see Dr. Jay for a follow-up visit after surgery. X-rays will be taken so that he can check how well the osteotomy has healed. After the follow-up, Dr. Jay will tell you when it is safe to put weight on your leg, and when you can start rehabilitation.
Rehabilitation exercises. During rehabilitation, a physical therapist will give you exercises to help maintain range of motion in your knee and restore your strength.
